Sobre Mim
Sou graduada pela Universidade Federal de Diamantina há 19 anos e, desde então, dedico minha vida a transformar sorrisos e cuidar de pessoas. Há 3 anos, tornei-me Invisalign Doctor, trazendo para meus pacientes uma das técnicas mais modernas e confortáveis de alinhamento dental.
Minha abordagem é humanizada e inovadora: acredito que cada sorriso conta uma história única. Por isso, uno conhecimento técnico, experiência e sensibilidade para oferecer tratamentos que valorizam não apenas a estética, mas também o bem-estar e a autoconfiança de cada paciente.
Estou em constante evolução, buscando novas técnicas e atualizações que me permitem entregar sempre o melhor. Para mim, cuidar da saúde bucal é muito mais do que transformar dentes — é celebrar a vida e devolver autoestima às pessoas. Esse é o propósito que guia minha trajetória


Diana Giordani
Dentista apaixonada por sorrisos lindos e perfeitos!
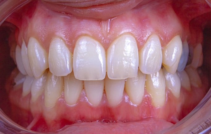
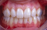
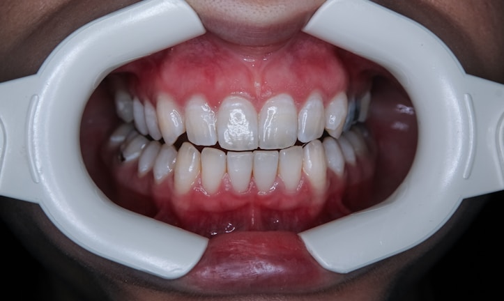
Galeria de Sorrisos
Cada sorriso aqui conta uma história de transformação
Perguntas Frequentes
Qual é a sua formação?
Sou graduada pela Universidade Federal de Diamantina há 19 anos.
Como você aborda os tratamentos?
Adoto uma abordagem humanizada, integrando conhecimento técnico e experiência estética para valorizar o bem-estar dos pacientes.
Você é especialista em qual área?
Sou especialista em Invisalign, com 3 anos de experiência, focando em tratamentos que vão além da estética.
Qual é a sua filosofia?
Acredito em celebrar a vida através de tratamentos que promovem autoconfiança e bem-estar.
Como você se mantém atualizada?
Estou em constante evolução, buscando novas técnicas e conhecimentos para oferecer o melhor aos meus pacientes.
Qual é o seu diferencial?
Meu diferencial é a combinação de dedicação profissional e equilíbrio pessoal, que inspira tratamentos personalizados e humanizados.
Diana Giordani
DENTISTA APAIXONADA POR
SORRISOS LINDOS E SAUDÁVEIS!
Contatos
localização
+55 31 99117-0435
© 2025. All rights reserved.